
잇몸이 어렸을 적부터 안 좋았다. 선천적인 영향도 있었지만 젊은 나이에 관리를 잘 했어다면 지금보단 건강한 잇몸으로 생활하고 있을 것이다.
1년에 한 번씩 스케일링을 받고 나서 잇몸치료도 받는다. 꾸준히 관리하는게 오래되진 않았다.
최근에 간헐적인 흡연도 완전히 끊은 후에 스케일링을 위해 치과를 찾았다. 의사선생님이 오른쪽 위쪽 어금니를 가리키며 아프지 않으세요?라고 물었다.
잇몸이 아팠다가 시간이 지나면 괜찮아지기도 하기에 어금니의 불편함이 단순히 시간이 지나면 없어질 거라 생각하고 있었다.
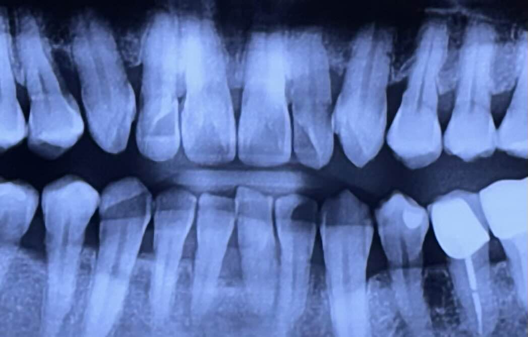
잇몸이 많이 녹아내려 어금니 "임플란트"가 필요할 것 같다고 했다.
40대 후반이지만 "임플란트"란 나에게 머나먼 할아버지 할머니가 되면 하는 걸로 만 생각했었다.
의사선생님은 별거 아니단 듯이 임플란트 과정을 내 치아 엑스레이를 보며 친절하게 설명해 주었다.
집에 돌아와 임플란트 시 치아보험으로 받을 수 있는 혜택 등을 알아보았다.
어금니 안쪽에 있는 사랑니도 발치해야 한다. 준비과정을 거쳐 발치 후 임플란트를 심기까지 5-6개월이 걸릴 수 있다고 했다.
우울한 마음을 안고 언제 임플란트를 할지 달력을 보며 생각해 본다.
치과와 잇몸 관리는 아플 때 가면 안 된다, 미리미리 준비하고 관리의 필요성을 느낀다.
728x90
'글자가된 일상(에세이)' 카테고리의 다른 글
| 아낌없이 주는 후배 (0) | 2025.11.20 |
|---|---|
| 차창 진돗개 (0) | 2025.11.19 |
| 운동중 에피소드 (0) | 2025.11.16 |
| 대한민국 공군 상병 (0) | 2025.11.02 |
| 퇴사한 직원이 보낸 "부고장" (0) | 2025.10.28 |
